Trồng răng implant bị đào thải là biến chứng nghiêm trọng khiến nhiều người lo lắng. Không chỉ do cơ địa, còn nhiều yếu tố khác bạn cần lưu ý. Vậy làm sao nhận biết sớm và xử lý hiệu quả? Khám phá giải pháp mới nhất 2025 ngay trong bài viết!
I. Hiểu đúng về tình trạng trồng răng implant bị đào thải là gì?
1. Định nghĩa khoa học về đào thải Implant
Hiện tượng trồng răng implant bị đào thải là khi cơ thể không tiếp nhận trụ Implant như một phần tự nhiên. Hệ miễn dịch xem đây là “vật thể lạ” và tạo phản ứng loại bỏ.
Cơ chế đào thải xảy ra khi:
-
Trụ Implant không tích hợp được với xương hàm
-
Có phản ứng viêm kéo dài, nhiễm trùng tại vị trí cấy ghép
-
Xương không bao quanh được trụ, khiến Implant lung lay hoặc rơi ra
Tình trạng này cần được phân biệt rõ với các biến chứng khác như:
-
Viêm quanh Implant ở giai đoạn sớm
-
Implant bị lung lay do lực nhai sai lệch
-
Nướu sưng viêm tạm thời do vệ sinh kém
Trong các trường hợp đào thải thực sự, trụ răng không còn khả năng sử dụng và buộc phải loại bỏ hoàn toàn.
2. Tỷ lệ trồng răng Implant bị đào thải hiện nay
Theo các thống kê nha khoa quốc tế, tỷ lệ thành công của Implant hiện nay đạt khoảng 95 – 98% nếu được thực hiện đúng kỹ thuật, đúng quy trình. Tuy nhiên, vẫn tồn tại khoảng 2 – 5% ca gặp thất bại, trong đó có trường hợp bị đào thải trụ.
Một số nghiên cứu ghi nhận:
-
Tỷ lệ thất bại cao hơn ở người hút thuốc, người bị tiểu đường không kiểm soát
-
Cấy ghép Implant không tích hợp xương chiếm phần lớn nguyên nhân đào thải
-
Viêm nhiễm kéo dài trong 3 tháng đầu có thể dẫn tới loại bỏ trụ Implant
Như vậy, dù ít gặp nhưng implant bị loại bỏ vẫn là một nguy cơ không thể chủ quan.
3. Các cách gọi khác của tình trạng này
Tình trạng trồng răng implant bị đào thải còn được biết đến với nhiều thuật ngữ tương đương trong nha khoa và đời sống:
-
Cấy ghép implant bị hỏng
-
Implant không thành công
-
Implant bị thải loại
-
Trụ implant bị loại bỏ khỏi xương hàm
-
Thất bại khi trồng răng giả
Các cụm từ này thường dùng tùy vào ngữ cảnh chuyên môn hay thông dụng, nhưng đều chỉ chung một tình trạng: Trụ implant không còn khả năng duy trì và phải xử lý triệt để.
Xem thêm: Trồng răng Implant

II. Vì sao trồng răng implant bị đào thải? Hé lộ các nguyên nhân chính
1. Yếu tố từ cơ thể bệnh nhân
Một số trường hợp thất bại khi cấy implant đến từ chính cơ địa người bệnh. Cơ thể không tiếp nhận trụ Implant như vật liệu sinh học an toàn, từ đó kích hoạt phản ứng đào thải.
Nguyên nhân nội sinh thường gặp:
-
Dị ứng với Titanium (dù rất hiếm)
-
Hệ miễn dịch phản ứng quá mức với vật thể cấy ghép
-
Mắc các bệnh lý toàn thân như tiểu đường, loãng xương, lupus
-
Tình trạng vệ sinh răng miệng kém kéo dài
-
Thói quen hút thuốc lá nhiều, ảnh hưởng khả năng tích hợp xương
Những yếu tố trên làm tăng nguy cơ implant bị viêm và mất khả năng liên kết với xương hàm.
2. Sai sót trong kỹ thuật cấy ghép và tay nghề bác sĩ
Một trong những nguyên nhân phổ biến khiến implant bị đào thải là do lỗi trong quy trình thực hiện.
Các lỗi có thể bao gồm:
-
Chẩn đoán sai vị trí hoặc kích thước trụ Implant
-
Thao tác phẫu thuật không đúng kỹ thuật, gây tổn thương mô mềm hoặc xương
-
Không đảm bảo độ ổn định ban đầu của trụ cắm
-
Trình độ chuyên môn và kinh nghiệm của bác sĩ chưa đủ để xử lý ca khó
Kỹ thuật không chính xác dễ dẫn đến implant không tích hợp xương, tăng nguy cơ viêm nhiễm và đào thải.
3. Chất lượng trụ Implant và quy trình vô trùng
Chất lượng trụ cấy và điều kiện phòng phẫu thuật ảnh hưởng trực tiếp đến kết quả điều trị.
Một số yếu tố cần đặc biệt lưu ý:
-
Trụ Implant kém chất lượng, không rõ nguồn gốc
-
Phòng phẫu thuật không đảm bảo vô trùng tuyệt đối
-
Vật liệu ghép xương không tương thích với cơ thể người bệnh
-
Thiết bị hỗ trợ không được tiệt trùng đúng cách
Đây là lý do vì sao việc chọn địa chỉ nha khoa uy tín đóng vai trò quan trọng để trồng răng implant không bị thất bại.
4. Chăm sóc sau cấy ghép không đúng cách dẫn đến implant bị viêm
Ngay cả khi cấy ghép thành công bước đầu, việc chăm sóc hậu phẫu không đúng cách vẫn có thể dẫn đến implant bị nhiễm trùng.
Một số lỗi thường gặp:
-
Vệ sinh răng miệng không đúng tại vùng cắm Implant
-
Ăn đồ cứng sớm khiến trụ chịu áp lực quá lớn
-
Không dùng thuốc theo chỉ định hoặc bỏ lỡ lịch tái khám
-
Bỏ qua các triệu chứng cảnh báo như đau, chảy máu, sưng
Chỉ cần một sai sót nhỏ cũng có thể khiến implant bị hỏng, dẫn tới đào thải và mất trụ sớm.
Tìm hiểu thêm: Trồng răng Implant bao lâu

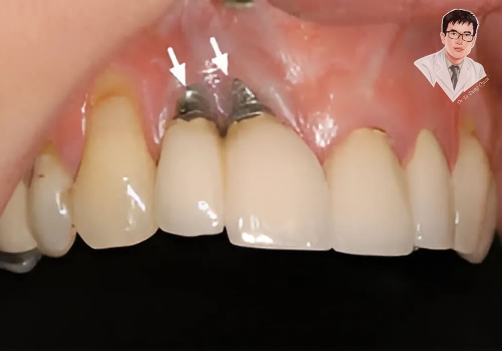
III. Dấu hiệu implant bị đào thải: Nhận biết sớm để can thiệp kịp thời
1. Các triệu chứng tại chỗ dễ nhận thấy
Khi trồng răng implant bị đào thải, cơ thể thường biểu hiện một số dấu hiệu rõ ràng tại vùng cấy ghép. Việc nhận biết sớm giúp bạn có hướng xử lý kịp thời, tránh biến chứng.
Các triệu chứng thường gặp:
-
Đau nhức kéo dài tại vị trí cắm Implant, không thuyên giảm sau vài ngày
-
Nướu quanh trụ bị sưng đỏ, dễ chảy máu hoặc chảy dịch mủ
-
Tụt nướu khiến phần thân hoặc cổ Implant lộ ra ngoài
-
Cảm giác ngứa ngáy, khó chịu dai dẳng tại vùng trụ
Đây là các dấu hiệu dễ quan sát, thường xảy ra trong giai đoạn đầu khi implant bị viêm, nhưng nếu không điều trị đúng cách có thể dẫn đến đào thải hoàn toàn.
2. Implant lung lay sau khi cấy – Dấu hiệu báo động đỏ
Một trụ Implant khỏe mạnh sẽ được cố định vững chắc trong xương hàm. Nếu bạn cảm thấy trụ bị di chuyển khi ăn nhai hay dùng tay chạm nhẹ, đây là cảnh báo nghiêm trọng.
Cần phân biệt rõ:
-
Lung lay nhẹ sau phẫu thuật vài ngày đầu có thể là bình thường
-
Lung lay kéo dài, ngày càng rõ rệt là biểu hiện của implant bị thải loại
Tuyệt đối không nên thử lay trụ mạnh tay tại nhà. Hãy đến nha khoa để kiểm tra chuyên sâu nếu nghi ngờ trụ implant không thành công.
3. Dấu hiệu nhận biết implant đang bị đào thải qua phim X-quang
Ngoài biểu hiện lâm sàng, bác sĩ sẽ dùng phim chụp để đánh giá mức độ tích hợp của Implant.
Phim X-quang giúp phát hiện:
-
Tiêu xương quanh trụ Implant
-
Không thấy dấu hiệu bám dính giữa bề mặt trụ và xương hàm
-
Có khoảng trống quanh trụ, gợi ý tình trạng implant không tích hợp xương
Conebeam CT 3D là công nghệ chẩn đoán chính xác, giúp xác định mức độ tổn thương để can thiệp sớm. Đây là bằng chứng khách quan nhất để xác nhận tình trạng implant bị loại bỏ khỏi xương.

IV. Chẩn đoán tình trạng đào thải trụ implant như thế nào?
1. Thăm khám lâm sàng chi tiết
Việc chẩn đoán trồng răng implant bị đào thải bắt đầu từ bước khám trực tiếp tại nha khoa. Bác sĩ sẽ kiểm tra toàn diện để đánh giá tình trạng vùng cấy ghép.
Các bước cơ bản gồm:
-
Quan sát các dấu hiệu viêm sưng, đỏ, chảy máu, có mủ
-
Kiểm tra mức độ lung lay của trụ Implant
-
Đo độ sâu túi lợi quanh Implant bằng dụng cụ chuyên dụng
-
Hỏi về quá trình cấy ghép và chăm sóc sau phẫu thuật
Qua bước này, bác sĩ sẽ có nhận định sơ bộ về mức độ ổn định của trụ và khả năng implant bị hỏng.
2. Vai trò không thể thiếu của chẩn đoán hình ảnh
Để đưa ra đánh giá chính xác, phim X-quang và công nghệ hình ảnh đóng vai trò quan trọng.
Các loại phim thường dùng:
-
Phim quanh chóp để kiểm tra mức độ tiêu xương
-
Phim Panorama để quan sát tổng thể hàm răng
-
Conebeam CT 3D cho hình ảnh không gian ba chiều rõ ràng
Những kỹ thuật này giúp phát hiện:
-
Trụ không tích hợp với xương
-
Mất xương quanh trụ
-
Khoảng hở bất thường tại vùng tiếp xúc giữa Implant và xương hàm
Đây là cách bác sĩ xác định chính xác implant không tích hợp xương – nguyên nhân phổ biến dẫn đến đào thải.
3. Các xét nghiệm bổ sung (nếu cần)
Trong một số trường hợp nghi ngờ implant bị nhiễm trùng nặng hoặc liên quan bệnh toàn thân, bác sĩ có thể chỉ định thêm:
-
Xét nghiệm vi khuẩn tại vị trí cấy ghép
-
Xét nghiệm máu để kiểm tra chỉ số viêm hoặc phát hiện bệnh nền ảnh hưởng đến cấy ghép
Những xét nghiệm này giúp đưa ra hướng xử lý phù hợp, nâng cao khả năng kiểm soát thất bại khi cấy implant ngay từ sớm.
Bạn cần bác sĩ nha khoa giỏi? Gặp ngay Dr. Quân!

V. Cách xử lý khi trồng răng implant bị đào thải hiệu quả nhất 2025
1. Nguyên tắc xử lý chung: Can thiệp sớm, đúng phương pháp
Khi phát hiện dấu hiệu trồng răng implant bị đào thải, điều quan trọng là không chậm trễ. Việc tự điều trị tại nhà hay bỏ qua triệu chứng có thể khiến tình trạng nghiêm trọng hơn.
Các nguyên tắc cần ghi nhớ:
-
Đến nha khoa kiểm tra ngay khi có dấu hiệu bất thường
-
Không dùng thuốc hoặc can thiệp tại chỗ khi chưa có hướng dẫn từ bác sĩ
-
Mục tiêu điều trị: loại bỏ nguyên nhân, kiểm soát nhiễm trùng, bảo tồn xương hàm
Xử lý kịp thời giúp hạn chế tối đa nguy cơ implant bị thải loại hoàn toàn.
2. Các phương pháp xử lý cụ thể tùy thuộc vào mức độ
Tùy vào tình trạng cụ thể, bác sĩ sẽ chỉ định phương án phù hợp. Mỗi giai đoạn cần có hướng điều trị khác nhau để bảo vệ kết quả cấy ghép.
Một số cách xử lý thường gặp:
-
Trường hợp nhẹ, viêm sớm:
• Vệ sinh răng miệng chuyên sâu tại nha khoa
• Sử dụng kháng sinh, kháng viêm đúng chỉ định
• Điều chỉnh lực nhai, khớp cắn nếu cần -
Viêm trung bình, có tiêu xương:
• Phẫu thuật nạo mô viêm quanh Implant
• Sử dụng màng sinh học hoặc ghép xương nếu đủ điều kiện -
Trường hợp trụ implant bị loại bỏ:
• Tháo bỏ hoàn toàn trụ cũ
• Làm sạch ổ viêm, xử lý bề mặt xương
• Lên kế hoạch phục hình lại sau thời gian hồi phục
Những bước trên cần được thực hiện tại nha khoa uy tín để giảm nguy cơ tái phát implant không thành công.
3. Cập nhật công nghệ mới 2025 trong xử lý đào thải Implant
Y học hiện đại đang không ngừng cải tiến các phương pháp điều trị. Một số công nghệ mới giúp xử lý hiệu quả hơn các ca implant bị hỏng hoặc không tích hợp tốt.
Công nghệ nổi bật:
-
Ứng dụng laser điều trị viêm quanh trụ, tăng hiệu quả khử khuẩn
-
Vật liệu ghép xương sinh học thế hệ mới giúp phục hồi nhanh hơn
-
Hệ thống mô phỏng tích hợp giúp chẩn đoán chính xác và giảm sai sót
Đây là lý do vì sao bạn nên lựa chọn phòng khám có thiết bị hiện đại, tiêu chuẩn vô trùng cao và bác sĩ điều trị giỏi như bác sĩ Quân tại Hồ Chí Minh.

VI. Implant bị đào thải có trồng lại được không và cần lưu ý gì?
1. Khả năng cấy ghép lại Implant sau khi bị đào thải
Khi trồng răng implant bị đào thải, không phải ai cũng mất hoàn toàn cơ hội phục hình. Trong đa số trường hợp, bạn vẫn có thể thực hiện lại cấy ghép sau khi điều trị triệt để nguyên nhân gây đào thải.
Điều kiện cần để có thể trồng lại:
-
Tình trạng viêm được kiểm soát hoàn toàn
-
Vùng xương hàm đủ khỏe để tiếp nhận trụ mới
-
Không còn dấu hiệu nhiễm trùng quanh khu vực cũ
Thông thường, cần chờ từ 3 đến 6 tháng để xương lành hẳn sau khi tháo trụ bị loại bỏ. Khoảng thời gian này giúp đảm bảo trụ mới có khả năng tích hợp tốt hơn và tránh lặp lại tình trạng implant bị hỏng.
2. Điều kiện cần thiết để cấy lại Implant thành công
Muốn cấy ghép implant lần hai đạt hiệu quả, người bệnh cần đáp ứng các tiêu chí nhất định về sức khỏe tổng quát lẫn điều kiện vùng cấy ghép.
Các yếu tố quan trọng gồm:
-
Xương hàm đủ độ dày và chắc, có thể cần ghép thêm xương nếu thiếu
-
Bệnh lý toàn thân như tiểu đường, cao huyết áp phải được kiểm soát ổn định
-
Vệ sinh răng miệng đúng cách, tránh viêm nướu hoặc nha chu
-
Không hút thuốc lá hoặc phải ngưng hoàn toàn trước và sau cấy lại
-
Chọn đúng bác sĩ có kinh nghiệm xử lý các ca implant không thành công
Bên cạnh đó, bạn có thể được tư vấn chọn loại trụ khác phù hợp hơn về thiết kế và kích thước nếu nguyên nhân trước đây là do vật liệu không tương thích.
3. Những lưu ý quan trọng khi quyết định cấy lại
Trồng lại răng Implant sau thất bại đòi hỏi sự chuẩn bị kỹ lưỡng và kiên nhẫn. Để nâng cao tỉ lệ thành công, bạn cần:
-
Thảo luận chi tiết với bác sĩ về mức độ phức tạp, rủi ro và chi phí điều trị
-
Tuân thủ chặt chẽ mọi chỉ định trước, trong và sau khi cấy ghép
-
Xem xét phương án phục hình bằng cầu răng hoặc răng tháo lắp nếu xương hàm không đủ điều kiện
Việc hợp tác tốt với nha sĩ giúp bạn phòng tránh được rủi ro trồng răng implant thất bại lần hai, đồng thời đảm bảo kết quả lâu dài.

VII. Phòng ngừa thất bại khi cấy implant: Bí quyết cho ca trồng răng thành công
1. Lựa chọn địa chỉ nha khoa và bác sĩ uy tín
Yếu tố đầu tiên quyết định thành công của ca trồng răng implant là nơi bạn thực hiện. Một phòng khám uy tín không chỉ đảm bảo về thiết bị mà còn có bác sĩ giàu kinh nghiệm trong xử lý các trường hợp khó.
Tiêu chí lựa chọn:
-
Được cấp phép hành nghề rõ ràng, công khai minh bạch
-
Sử dụng trụ Implant chính hãng, có chứng nhận chất lượng
-
Phòng mổ vô trùng, trang thiết bị hiện đại
-
Đội ngũ bác sĩ chuyên sâu về cấy ghép, nhiều năm kinh nghiệm
Tại TP.HCM, bạn có thể tham khảo bác sĩ điều trị giỏi như ThS.BS. Quân – chuyên sâu về Implant, được đánh giá cao bởi nhiều bệnh nhân thực tế: https://drtadongquan.com
2. Chuẩn bị sức khỏe tốt trước khi cấy ghép
Một cơ thể khỏe mạnh là nền tảng để Implant tích hợp tốt. Trước khi cấy ghép, bạn cần được đánh giá toàn diện để đảm bảo khả năng hồi phục nhanh chóng.
Những việc nên làm:
-
Khám tổng quát và báo đầy đủ tiền sử bệnh lý cho bác sĩ
-
Kiểm soát tốt các bệnh mãn tính như tiểu đường, huyết áp, loãng xương
-
Điều trị dứt điểm viêm nướu, nha chu hoặc sâu răng
-
Hạn chế và tốt nhất là ngừng hẳn hút thuốc trước và sau cấy ghép
Các bước chuẩn bị này giúp phòng tránh implant không tích hợp xương – nguyên nhân hàng đầu khiến trụ bị đào thải.
3. Tuân thủ nghiêm ngặt chỉ định chăm sóc sau phẫu thuật
Sau khi thực hiện cấy ghép, việc chăm sóc đúng cách đóng vai trò then chốt trong việc giữ vững kết quả lâu dài. Đây là giai đoạn Implant bắt đầu hòa nhập vào xương nên cần được bảo vệ tối đa.
Lưu ý sau khi cấy ghép:
-
Uống thuốc đúng liều và theo thời gian bác sĩ kê
-
Vệ sinh nhẹ nhàng vùng cắm trụ bằng bàn chải mềm, không chà xát mạnh
-
Ăn thức ăn mềm trong tuần đầu, tránh đồ cứng và dai
-
Tái khám đúng lịch hẹn để theo dõi tình trạng implant bị viêm hay tích hợp không ổn định
Tuân thủ nghiêm túc sẽ giúp bạn tránh xa nguy cơ trồng răng implant bị đào thải, đồng thời kéo dài tuổi thọ phục hình lên đến hàng chục năm.
VIII. Trồng implant thất bại có nguy hiểm không? Đánh giá rủi ro
1. Các biến chứng tiềm ẩn nếu không xử lý kịp thời
Khi trồng răng implant bị đào thải mà không can thiệp đúng lúc, người bệnh có thể đối mặt với nhiều biến chứng ảnh hưởng đến sức khỏe và thẩm mỹ.
Một số rủi ro thường gặp:
-
Nhiễm trùng lan rộng, có thể tạo áp xe tại vùng hàm mặt
-
Tiêu xương nghiêm trọng, ảnh hưởng đến cấu trúc các răng kế cận
-
Giảm chức năng ăn nhai, gây mỏi khớp thái dương hàm
-
Mất thẩm mỹ vùng cấy ghép, đặc biệt ở răng cửa hoặc vùng hàm trên
-
Tăng chi phí điều trị và kéo dài thời gian phục hồi
Các hậu quả này khiến việc phục hình lại trở nên phức tạp, đôi khi không còn khả thi nếu xương hàm tổn thương quá nặng.
2. Mức độ nguy hiểm và cách giảm thiểu rủi ro
Mặc dù trồng răng implant thất bại là điều không ai mong muốn, nhưng nếu được phát hiện sớm và xử lý đúng kỹ thuật, bạn vẫn có thể bảo toàn sức khỏe và kết quả điều trị.
Cách giảm thiểu rủi ro:
-
Lắng nghe các dấu hiệu bất thường như đau, sưng, chảy máu kéo dài
-
Tuân thủ hướng dẫn vệ sinh và dùng thuốc theo chỉ định
-
Không tự ý xử lý tại nhà hoặc trì hoãn việc tái khám
-
Luôn chọn bác sĩ có kinh nghiệm và thiết bị hiện đại để theo dõi sát sao
Quan trọng nhất, hãy giữ liên lạc thường xuyên với phòng khám sau khi cấy ghép. Điều này giúp phát hiện sớm các nguy cơ implant bị hỏng và xử lý kịp thời trước khi biến chứng trở nên nghiêm trọng.
Bạn đang thắc mắc? Click ngay để biết đáp án!
IX. Địa chỉ trồng răng implant Hồ Chí Minh: Tại sao nên chọn bác sĩ Quân?
Tìm một địa chỉ trồng răng implant uy tín tại TP.HCM không khó, nhưng chọn đúng nơi có bác sĩ tay nghề cao và quy trình chuẩn y khoa lại là điều không dễ. Bác sĩ Quân là lựa chọn được nhiều bệnh nhân tin tưởng nhờ chuyên môn sâu và sự tận tâm.
Lý do bạn nên lựa chọn bác sĩ Quân:
-
Hơn 10 năm kinh nghiệm thực chiến, phục hình thành công hàng ngàn ca implant
-
Trực tiếp thăm khám, lên kế hoạch và thực hiện toàn bộ quy trình
-
Trang bị máy Cone Beam CT 3D và phần mềm mô phỏng cấy ghép chính xác
-
Trụ và mão sứ có xuất xứ rõ ràng, bảo hành minh bạch đến trọn đời
-
Không gian điều trị riêng biệt, sạch sẽ, vô trùng tuyệt đối
-
Cam kết trồng răng không đau, an toàn và tích hợp xương tốt
Nếu bạn đang phân vân, hãy liên hệ để được tư vấn miễn phí và bắt đầu hành trình lấy lại nụ cười vững chắc ngay hôm nay.
Thông tin liên hệ bác sĩ Quân:
Địa chỉ: 35-37 Nguyễn Thị Thập, Q. 7, Tp HCM, Việt Nam
Điện thoại: 078 751 5858
Email:
Website: https://drtadongquan.com
Facebook: Bác Sĩ Quân
Bạn có thể đặt lịch tư vấn trực tiếp để được bác sĩ thăm khám, đánh giá tình trạng răng miệng cụ thể và đưa ra phương án điều trị phù hợp nhất.
Tổng quan về trồng răng implant – những điều bạn cần biết