Viêm lợi chảy máu là một bệnh lý phổ biến gây khó chịu và ảnh hưởng đến sức khỏe răng miệng. Bài viết này sẽ cung cấp thông tin về nguyên nhân gây viêm lợi và cách chữa trị hiệu quả. Nếu bạn gặp phải tình trạng này, đừng bỏ qua những biện pháp phòng ngừa và điều trị viêm lợi chảy máu đơn giản mà hiệu quả tại nhà.
I. Nhận diện đúng về tình trạng viêm lợi chảy máu
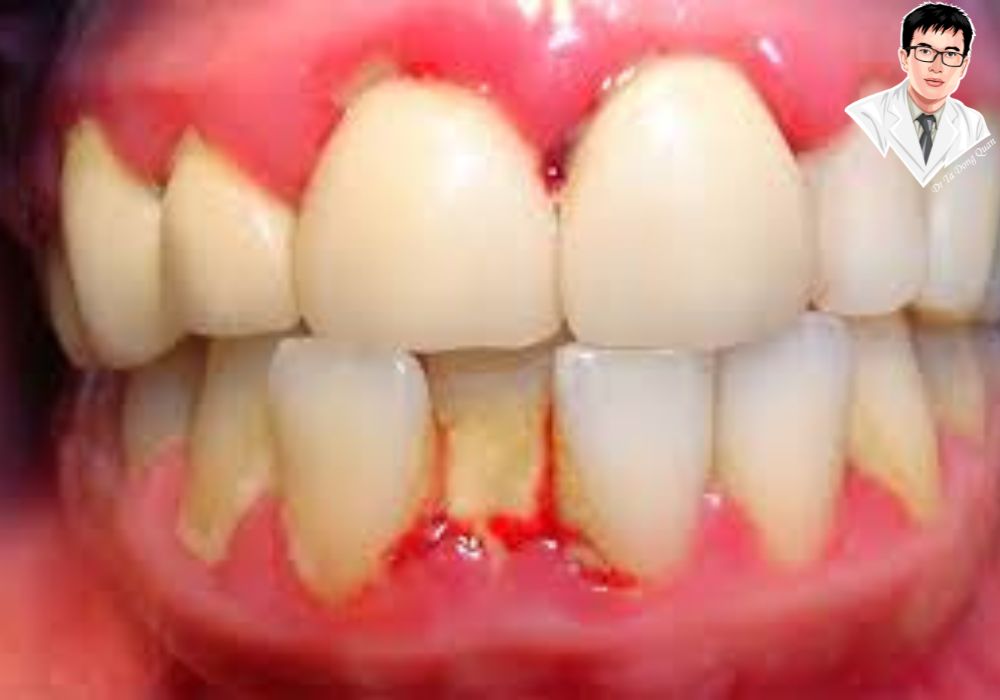
1. Tình trạng viêm lợi chảy máu là gì?
Viêm lợi chảy máu là một tình trạng xảy ra khi mô nướu bị vi khuẩn tấn công, gây viêm và làm cho nướu dễ bị chảy máu khi có tác động nhẹ như đánh răng hoặc sử dụng chỉ nha khoa. Đây là dấu hiệu đầu tiên của bệnh viêm nướu và nếu không được điều trị kịp thời có thể dẫn đến viêm nha chu, gây ảnh hưởng nghiêm trọng đến sức khỏe răng miệng.

2. Cách nhận biết nướu bị viêm
Khi bị viêm lợi chảy máu, nướu sẽ có màu đỏ sẫm hoặc tím, sưng và rất dễ chảy máu. Đây là dấu hiệu rõ ràng cho thấy bạn đang gặp phải vấn đề về nướu, đặc biệt khi bạn cảm thấy đau nhức khi đánh răng hoặc khi sử dụng chỉ nha khoa. Cùng với đó là hiện tượng nướu mềm, dễ tổn thương và mất đi sự săn chắc.
3. Tầm quan trọng của việc phát hiện sớm
Phát hiện và điều trị viêm lợi chảy máu ngay từ giai đoạn đầu là rất quan trọng. Việc điều trị sớm giúp ngừng quá trình viêm, tránh tình trạng viêm nha chu hoặc tiêu xương ổ răng. Nếu bạn không chú ý và điều trị kịp thời, tình trạng viêm lợi có thể tiến triển thành các bệnh lý nghiêm trọng hơn, gây mất răng.
Xem thêm: Lợi ích khi cắt lợi: Có thể cải thiện sức khỏe răng miệng?
II. Các nguyên nhân phổ biến khiến bạn bị viêm lợi chảy máu
1. Vệ sinh răng miệng chưa đúng cách
Viêm lợi chảy máu chủ yếu xảy ra do vệ sinh răng miệng không đúng cách. Mảng bám vi khuẩn tích tụ trên bề mặt răng và đường viền nướu khi bạn không chải răng đủ kỹ hoặc bỏ qua việc dùng chỉ nha khoa. Mảng bám này dần cứng lại thành cao răng, làm nướu bị kích ứng và gây viêm.

2. Thay đổi nội tiết tố
Phụ nữ có nguy cơ cao bị viêm lợi chảy máu trong các giai đoạn như tuổi dậy thì, mang thai, chu kỳ kinh nguyệt và mãn kinh. Sự thay đổi hormone trong cơ thể, đặc biệt là progesterone và estrogen, làm tăng lưu lượng máu đến mô nướu, khiến chúng trở nên nhạy cảm và dễ bị viêm. Điều này làm cho nướu dễ bị chảy máu khi có tác động nhẹ.
3. Bệnh lý toàn thân và thuốc điều trị
Một số bệnh lý như tiểu đường, HIV/AIDS, bệnh bạch cầu và các vấn đề về miễn dịch có thể làm suy yếu khả năng chống lại vi khuẩn và gây viêm lợi chảy máu. Bên cạnh đó, việc sử dụng một số loại thuốc điều trị, chẳng hạn như thuốc chống động kinh hoặc thuốc ức chế miễn dịch, có thể gây ra tác dụng phụ khiến mô nướu phát triển quá mức, gây khó khăn trong việc vệ sinh và dẫn đến tình trạng viêm lợi.
III. Những dấu hiệu cảnh báo bạn đang bị viêm lợi chảy máu
1. Nướu sưng đỏ và đau nhức
Một trong những dấu hiệu phổ biến nhất của viêm lợi chảy máu là nướu sưng đỏ và đau nhức. Khi nướu bị viêm, bạn sẽ cảm thấy đau khi chạm vào hoặc khi ăn những thức ăn cứng. Sự đau nhức này là do phản ứng viêm của cơ thể đối với sự tấn công của vi khuẩn, làm cho mô nướu bị tổn thương.

2. Hơi thở có mùi hôi
Nếu hơi thở của bạn có mùi hôi kéo dài dù bạn đã vệ sinh răng miệng kỹ lưỡng, đó có thể là dấu hiệu của viêm lợi chảy máu. Mùi hôi này phát sinh do vi khuẩn trong mảng bám phân hủy thức ăn, tạo ra các hợp chất sulfur dễ bay hơi, gây mùi hôi trong miệng.
3. Nướu bị tụt
Khi tình trạng viêm lợi chảy máu kéo dài mà không được điều trị, nướu sẽ dần mất đi sự săn chắc và tụt xuống. Điều này làm lộ chân răng và khiến cho răng trở nên nhạy cảm hơn, đặc biệt là với những thức ăn hoặc đồ uống nóng, lạnh. Nếu không được xử lý, tình trạng này có thể dẫn đến sâu chân răng và mất răng vĩnh viễn.
| Dấu hiệu | Nguyên nhân |
|---|---|
| Nướu sưng đỏ và đau nhức | Vệ sinh răng miệng không đúng cách |
| Hơi thở có mùi hôi | Thay đổi nội tiết tố |
| Nướu bị tụt | Bệnh lý toàn thân và thuốc điều trị |
| Chảy máu khi đánh răng | Mảng bám vi khuẩn tích tụ |
IV. Biến chứng nguy hiểm nếu chủ quan không điều trị viêm lợi chảy máu
1. Viêm nha chu
Nếu viêm lợi chảy máu không được điều trị kịp thời, tình trạng viêm sẽ tiến triển thành viêm nha chu. Đây là một bệnh lý nghiêm trọng, khi vi khuẩn tấn công vào các mô liên kết và xương ổ răng, làm tổn hại cấu trúc nâng đỡ răng. Khi bệnh phát triển, răng sẽ trở nên lung lay và dễ rụng.

2. Tiêu xương ổ răng
Viêm nha chu do viêm lợi chảy máu kéo dài có thể dẫn đến tiêu xương ổ răng, gây mất nền tảng vững chắc của răng. Khi xương ổ răng bị tiêu hủy, răng sẽ không còn được hỗ trợ tốt và dễ bị lung lay. Tình trạng này nếu không điều trị có thể dẫn đến mất răng vĩnh viễn.
3. Ảnh hưởng đến sức khỏe toàn thân
Các nghiên cứu khoa học gần đây cho thấy có mối liên hệ giữa viêm lợi chảy máu và các bệnh lý toàn thân như bệnh tim mạch, đột quỵ, tiểu đường khó kiểm soát. Vi khuẩn từ ổ viêm trong miệng có thể xâm nhập vào máu và gây viêm nhiễm ở các cơ quan khác trong cơ thể.
V. Các phương pháp điều trị viêm lợi chảy máu hiệu quả tại nhà
1. Quy trình vệ sinh răng miệng đúng cách
Để ngừng tình trạng viêm lợi chảy máu, bạn cần chú trọng đến việc vệ sinh răng miệng đúng cách. Hãy chải răng ít nhất hai lần mỗi ngày bằng bàn chải lông mềm và kem đánh răng có chứa fluoride. Kỹ thuật chải răng cũng rất quan trọng: bạn cần đặt bàn chải nghiêng một góc 45 độ so với đường viền nướu và chải nhẹ nhàng theo chuyển động tròn. Đặc biệt, đừng quên sử dụng chỉ nha khoa hoặc máy tăm nước ít nhất một lần mỗi ngày để làm sạch hoàn toàn các kẽ răng.

2. Sử dụng nước súc miệng kháng khuẩn
Nước súc miệng kháng khuẩn như chlorhexidine có thể giúp giảm vi khuẩn trong khoang miệng, hỗ trợ điều trị viêm lợi chảy máu và giảm tình trạng viêm nướu. Tuy nhiên, bạn cần tham khảo ý kiến nha sĩ trước khi sử dụng để lựa chọn loại phù hợp, tránh lạm dụng sản phẩm có chứa cồn vì chúng có thể làm khô miệng.
3. Điều chỉnh chế độ ăn uống
Một chế độ ăn uống lành mạnh có thể hỗ trợ điều trị viêm lợi chảy máu. Bạn nên bổ sung nhiều vitamin C và canxi để tăng cường sức khỏe cho nướu. Hạn chế thực phẩm chứa nhiều đường và tinh bột, vì đây là nguồn thức ăn yêu thích của vi khuẩn gây hại cho nướu. Đồng thời, từ bỏ thuốc lá là rất quan trọng, vì thuốc lá làm giảm khả năng miễn dịch và cản trở quá trình hồi phục của nướu.
VI. Khi nào bạn cần tìm đến sự can thiệp của nha sĩ
1. Cạo vôi răng
Khi tình trạng viêm lợi chảy máu không được cải thiện dù đã áp dụng các biện pháp tại nhà, bạn cần đến nha sĩ để tiến hành cạo vôi răng. Việc này giúp loại bỏ hoàn toàn mảng bám và vôi răng đã cứng lại, ngăn ngừa vi khuẩn phát triển và gây viêm.
2. Điều trị viêm lợi chuyên sâu
Nếu viêm lợi chảy máu đã tiến triển thành viêm nha chu, bạn sẽ cần sự can thiệp chuyên sâu từ nha sĩ. Các thủ thuật như làm láng gốc răng, điều trị túi nha chu, hoặc phẫu thuật để tái tạo mô nướu có thể được thực hiện để bảo vệ răng miệng và ngăn ngừa mất răng.

3. Sử dụng thuốc điều trị
Trong một số trường hợp, khi tình trạng viêm lợi trở nên nghiêm trọng, nha sĩ có thể kê đơn thuốc kháng sinh để giúp tiêu diệt vi khuẩn và giảm viêm, nhanh chóng khôi phục lại sức khỏe cho nướu.
Kết luận
Viêm lợi chảy máu là một vấn đề răng miệng phổ biến nhưng lại có thể gây ra những biến chứng nghiêm trọng nếu không được phát hiện và điều trị kịp thời. Việc phát hiện sớm và hiểu rõ nguyên nhân, dấu hiệu của tình trạng này sẽ giúp bạn chủ động hơn trong việc chăm sóc sức khỏe răng miệng. Thực hiện các biện pháp vệ sinh đúng cách, sử dụng nước súc miệng kháng khuẩn và duy trì chế độ ăn uống lành mạnh là những cách hiệu quả để ngăn ngừa và điều trị viêm lợi chảy máu.
Tuy nhiên, nếu tình trạng này kéo dài hoặc không cải thiện, bạn cần đến nha sĩ để được điều trị chuyên sâu, tránh các biến chứng như viêm nha chu, tiêu xương ổ răng và mất răng. Hãy luôn nhớ rằng việc chăm sóc sức khỏe răng miệng không chỉ là vấn đề thẩm mỹ mà còn ảnh hưởng đến sức khỏe tổng thể của bạn.
Thông tin liên hệ bác sĩ Quân:
Địa chỉ: 35-37 Nguyễn Thị Thập, Q. 7, Tp HCM, Việt Nam
Điện thoại: 078 751 5858
Email:
Website: https://drtadongquan.com
Facebook: Bác Sĩ Quân
Bạn có thể đặt lịch tư vấn trực tiếp để được bác sĩ thăm khám, đánh giá tình trạng răng miệng cụ thể và đưa ra phương án điều trị phù hợp nhất.