Bệnh viêm nướu là vấn đề răng miệng phổ biến, xuất phát từ mảng bám và vệ sinh kém. Tình trạng này gây sưng đỏ, đau nhức và chảy máu chân răng nếu không xử lý sớm. Hiểu rõ nguyên nhân và cách điều trị đúng sẽ giúp bạn ngăn bệnh tiến triển thành viêm nha chu nguy hiểm.
I. Hiểu đúng về bản chất tình trạng viêm nhiễm mô nướu
Nhiều khi soi gương, bạn chỉ thấy một vùng nướu hơi đỏ hoặc vài vệt máu nhỏ sau khi đánh răng rồi bỏ qua vì nghĩ mọi thứ sẽ tự ổn. Cảm giác chủ quan đó thường gặp, nhưng chính sự lơ là ấy đôi khi khiến bệnh viêm nướu tiến triển sâu hơn mà bạn không nhận ra. Nướu vốn mềm mại và nhạy cảm, luôn phản ứng khi vi khuẩn tấn công. Nếu hiểu rõ những tín hiệu mà cơ thể gửi đến, bạn sẽ chăm sóc răng miệng một cách an tâm và chủ động hơn, tránh để bệnh viêm nướu âm thầm kéo dài.
1. Phân biệt thuật ngữ chuyên môn và tên gọi thường dùng
Trong đời sống, nhiều người gọi tình trạng này là viêm lợi cho gần gũi. Ở góc độ y khoa, đây là giai đoạn đầu của bệnh lý nha chu khi tổn thương mới dừng lại ở mô mềm bao quanh răng. Thời điểm này, xương ổ răng vẫn còn nguyên vẹn, khả năng hồi phục rất cao nếu chăm sóc đúng cách và đúng thời điểm.

2. Cơ chế hình thành phản ứng viêm tại nướu
Khi mảng bám tích tụ lâu ngày, vi khuẩn sẽ bám sát vào đường viền nướu. Cơ thể lập tức điều động bạch cầu đến khu vực này để kiểm soát tình trạng viêm. Sự phản ứng của hệ miễn dịch làm nướu trở nên đỏ hơn, nhạy cảm hơn và dễ chảy máu. Đây là phản ứng tự nhiên nhằm bảo vệ vùng mô đang chịu tác động của vi khuẩn.
3. Mức độ nguy hiểm nếu không can thiệp kịp thời
Nếu tình trạng viêm kéo dài mà không được xử lý, mô nướu bắt đầu suy yếu, dần tách khỏi răng và hình thành những túi nha chu. Khi đó, vi khuẩn dễ xâm nhập sâu hơn, làm giảm độ vững của răng. Việc điều trị ở giai đoạn muộn thường phức tạp, tốn kém và mất nhiều thời gian hơn rất nhiều so với khi xử lý từ sớm.
Xem thêm: Cắt nướu không đau bằng laser: Hiệu quả và ưu điểm nổi bật
II. Dấu hiệu nhận biết sớm tránh biến chứng nặng
Có những thay đổi ở nướu tưởng như rất nhỏ nhưng lại là tín hiệu quan trọng cho thấy bệnh viêm nướu đang bắt đầu hình thành. Khi nhận ra kịp thời, bạn có thể tránh được nhiều rủi ro mà bệnh viêm nướu gây ra về sau. Việc quan sát kỹ những dấu hiệu này sẽ giúp bạn chủ động hơn trong việc bảo vệ sức khỏe răng miệng.
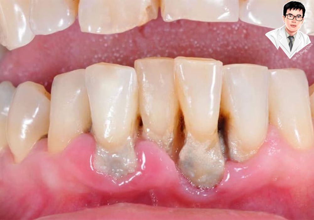
1. Sự thay đổi về màu sắc và hình dáng của nướu
Ở trạng thái khỏe mạnh, nướu thường có màu hồng nhạt và ôm sát vào chân răng. Khi bị viêm, màu nướu chuyển sang đỏ thẫm, bề mặt căng bóng và dễ sưng. Một số trường hợp nướu còn tách nhẹ khỏi chân răng, tạo cảm giác hơi rát hoặc căng khi chạm vào.

2. Hiện tượng chảy máu bất thường khi sinh hoạt
Một trong những dấu hiệu dễ nhận thấy nhất là chảy máu khi chải răng hoặc dùng chỉ nha khoa. Nếu lượng máu xuất hiện thường xuyên, ngay cả khi lực chải rất nhẹ, khả năng cao nướu đang bị tổn thương. Trường hợp nướu chảy máu tự phát dù không có tác động cơ học cho thấy tình trạng viêm đã tiến triển hơn.
3. Cảm giác đau nhức và hơi thở có mùi kéo dài
Khi vi khuẩn tích tụ trong các khe nướu, chúng tạo ra các hợp chất gây mùi khiến hơi thở trở nên khó chịu. Đồng thời, nướu có thể đau âm ỉ hoặc nhạy cảm khi ăn uống. Đây là dấu hiệu rõ ràng cho thấy mô nướu đang bị kích ứng và cần được xử lý sớm.
Bảng so sánh dấu hiệu nướu khỏe và nướu viêm
| Tình trạng | Đặc điểm quan sát | Ý nghĩa lâm sàng |
|---|---|---|
| Nướu khỏe | Màu hồng nhạt, ôm sát, không đau | Hệ vi sinh cân bằng, mô nướu ổn định |
| Viêm nướu nhẹ | Đỏ, hơi sưng, chảy máu khi chải răng | Vi khuẩn bắt đầu gây kích ứng |
| Viêm nướu nặng | Sưng phù, đỏ tím, đau nhiều | Nguy cơ tiến triển thành nha chu |
III. Thủ phạm thực sự gây ra các vấn đề về nướu
Để kiểm soát bệnh viêm nướu, điều quan trọng nhất là nhận diện chính xác nguyên nhân gây viêm. Rất nhiều yếu tố trong nếp sinh hoạt hàng ngày hoặc từ sức khỏe toàn thân có thể góp phần làm bệnh viêm nướu trở nên dai dẳng hơn. Khi hiểu được nguồn gốc của vấn đề, bạn sẽ dễ dàng điều chỉnh và cải thiện tình trạng răng miệng.
1. Vai trò của mảng bám và vôi răng trong cơ chế bệnh sinh
Mảng bám là lớp màng mềm chứa vi khuẩn bám lên bề mặt răng mỗi ngày. Nếu không được làm sạch đúng cách, chúng sẽ dần vôi hóa thành cao răng bám chặt vào nướu. Cao răng là nơi lý tưởng cho vi khuẩn trú ngụ và gây kích ứng liên tục, khiến nướu đỏ, sưng và yếu dần theo thời gian.

2. Những thói quen sinh hoạt vô tình làm hại nướu
Chải răng quá mạnh, chọn bàn chải lông cứng hoặc dùng tăm tre thay chỉ nha khoa đều có thể gây tổn thương mô nướu. Ngoài ra, thói quen ăn đồ ngọt dính, uống nước có gas hoặc vệ sinh răng miệng không đều đặn cũng góp phần thúc đẩy tình trạng viêm.
3. Tác động từ sức khỏe toàn thân và thay đổi nội tiết tố
Một số bệnh lý như tiểu đường, rối loạn miễn dịch hoặc thay đổi nội tiết tố ở phụ nữ mang thai có thể làm nướu nhạy cảm hơn và dễ viêm hơn. Khi khả năng chống lại vi khuẩn suy giảm, nướu sẽ dễ dàng bị kích ứng và phản ứng viêm tiến triển nhanh hơn bình thường.
IV. Quy trình xử lý và điều trị chuẩn y khoa
Khi nhận ra dấu hiệu của bệnh viêm nướu, điều cần thiết nhất là đánh giá mức độ viêm và lựa chọn phương pháp xử lý phù hợp. Việc can thiệp đúng thời điểm giúp bệnh viêm nướu nhanh chóng cải thiện và hạn chế tối đa nguy cơ tiến triển thành nha chu. Các bước điều trị thường bám sát tiêu chuẩn lâm sàng nhằm loại bỏ vi khuẩn và phục hồi mô nướu.
1. Làm sạch chuyên sâu loại bỏ tác nhân gây bệnh
Cạo vôi răng là bước đầu tiên và giữ vai trò quan trọng trong quá trình điều trị. Thiết bị siêu âm giúp tách mảng bám và cao răng khỏi bề mặt răng một cách nhẹ nhàng. Khi vôi răng được loại bỏ, vùng nướu có không gian để hồi phục tự nhiên và giảm đáng kể tình trạng sưng đỏ.

2. Sử dụng thuốc hỗ trợ kiểm soát tình trạng viêm
Trường hợp nướu viêm kèm đau nhiều, bác sĩ có thể chỉ định thuốc kháng viêm hoặc nước súc miệng sát khuẩn để ổn định mô nướu. Một số thuốc bôi tại chỗ cũng giúp giảm sưng và giảm cảm giác khó chịu. Việc dùng thuốc luôn cần tuân theo hướng dẫn để đảm bảo hiệu quả và an toàn.
3. Phẫu thuật nướu trong các ca bệnh tiến triển nặng
Khi nướu tụt sâu hoặc hình thành túi nha chu lớn, các thủ thuật như vạt nướu hoặc ghép nướu có thể được cân nhắc. Phẫu thuật giúp loại bỏ mô viêm, tái tạo lại cấu trúc bảo vệ cho răng và cải thiện hình dạng đường nướu.
V. Biện pháp hỗ trợ giảm triệu chứng ngay tại nhà
Song song với điều trị tại phòng khám, việc chăm sóc tại nhà đóng vai trò quan trọng trong quá trình kiểm soát bệnh viêm nướu. Những thói quen nhỏ nhưng đúng cách giúp bệnh viêm nướu thuyên giảm nhanh hơn và hỗ trợ nướu hồi phục ổn định. Duy trì đều đặn sẽ góp phần hạn chế viêm tái phát.
1. Vệ sinh răng miệng đúng kỹ thuật để không gây kích ứng
Sử dụng bàn chải lông mềm và chải theo chuyển động tròn hoặc dọc giúp làm sạch mà không gây áp lực lên nướu. Việc chải quá mạnh có thể khiến mô nướu bị tổn thương nên cần điều chỉnh lực tay phù hợp. Dùng chỉ nha khoa mỗi ngày giúp loại bỏ mảng bám ở những vùng bàn chải không tiếp cận được.

2. Sử dụng nước muối sinh lý làm sạch khuẩn
Súc miệng bằng nước muối sinh lý 0.9% giúp giảm vi khuẩn trong khoang miệng và làm dịu vùng nướu sưng. Phương pháp này đơn giản, dễ thực hiện và phù hợp cho cả người lớn lẫn trẻ em. Khi thực hiện đều đặn, nướu sẽ bớt đỏ và giảm cảm giác ê rát.
3. Bổ sung dinh dưỡng tăng cường sức đề kháng cho nướu
Thực phẩm giàu vitamin C và vitamin K hỗ trợ làm bền thành mạch máu và giảm tình trạng chảy máu nướu. Rau xanh giòn, trái cây tươi và các thực phẩm chứa men vi sinh giúp cân bằng hệ vi sinh khoang miệng. Hạn chế đồ ngọt dính và thức uống có gas để giảm nguồn nuôi vi khuẩn gây viêm.
Bảng tổng hợp nhóm đối tượng có nguy cơ cao mắc bệnh viêm nướu
| Nhóm đối tượng | Nguyên nhân tăng nguy cơ | Đặc điểm cần lưu ý | Hướng chăm sóc phù hợp |
|---|---|---|---|
| Phụ nữ mang thai | Thay đổi nội tiết làm nướu nhạy cảm | Nướu dễ sưng, đỏ, chảy máu khi chải răng | Vệ sinh nhẹ nhàng, khám định kỳ mỗi 3 tháng |
| Trẻ em – thanh thiếu niên | Kỹ năng vệ sinh răng miệng chưa hoàn chỉnh | Mảng bám dễ tích tụ quanh răng mới mọc | Hướng dẫn chải răng đúng, dùng chỉ nha khoa phù hợp |
| Người cao tuổi | Khô miệng, giảm lưu lượng nước bọt | Nướu dễ viêm, khả năng hồi phục kém | Tăng bổ sung nước, kiểm tra răng miệng định kỳ |
| Người mắc bệnh mãn tính (tiểu đường) | Sức đề kháng giảm, đường huyết ảnh hưởng mô nướu | Viêm kéo dài, chậm lành thương | Kiểm soát đường huyết, vệ sinh răng miệng đều đặn |
| Người hút thuốc lá | Khả năng tuần hoàn máu ở nướu giảm | Nướu khó lành, dễ tiến triển thành nha chu | Hạn chế thuốc lá, tăng cường vệ sinh và khám nha khoa |
VI. Đối tượng đặc biệt cần lưu ý về sức khỏe nướu
Một số nhóm đối tượng có nguy cơ cao hơn trong quá trình mắc bệnh viêm nướu, do thay đổi trong cơ chế bảo vệ của cơ thể hoặc thói quen sinh hoạt đặc thù. Khi hiểu được điều này, bạn sẽ biết cách hỗ trợ và chăm sóc phù hợp để tránh để bệnh viêm nướu tiến triển âm thầm. Mỗi nhóm cần có cách tiếp cận riêng để đảm bảo sức khỏe răng miệng.
1. Phụ nữ trong giai đoạn thai kỳ và thay đổi nội tiết
Sự thay đổi hormone trong thai kỳ làm tăng lưu lượng máu đến mô nướu khiến nướu nhạy cảm hơn. Khi tiếp xúc với mảng bám, vùng nướu dễ sưng và chảy máu hơn bình thường. Vì vậy, thai phụ cần duy trì vệ sinh răng miệng cẩn thận và thăm khám định kỳ để tránh viêm kéo dài.

2. Trẻ em và thanh thiếu niên trong giai đoạn mọc răng
Trẻ thường chưa thành thạo kỹ năng làm sạch răng miệng nên dễ tích tụ mảng bám. Giai đoạn răng thay hoặc mọc răng mới khiến nướu nhạy cảm hơn và dễ bị kích ứng. Sự hướng dẫn từ phụ huynh giúp trẻ hình thành thói quen tốt và giảm nguy cơ viêm.
3. Người cao tuổi và những người mắc bệnh mãn tính
Người lớn tuổi thường gặp tình trạng khô miệng do thuốc hoặc do quá trình lão hóa. Nước bọt ít làm giảm khả năng tự làm sạch khoang miệng khiến vi khuẩn phát triển mạnh hơn. Bệnh nhân tiểu đường cũng có nguy cơ cao do khả năng hồi phục mô kém và sức đề kháng suy giảm.
Kết luận
Chăm sóc sức khỏe nướu không chỉ là việc giữ cho răng miệng sạch sẽ mà còn là cách bạn gìn giữ sự ổn định cho toàn bộ khoang miệng. Khi hiểu rõ những dấu hiệu sớm và nguyên nhân gây viêm, bạn sẽ dễ dàng chủ động hơn trong việc phòng ngừa và xử lý. Dù bệnh viêm nướu thường bắt đầu rất âm thầm, nhưng chỉ cần một chút quan sát và điều chỉnh thói quen, tình trạng này hoàn toàn có thể được kiểm soát hiệu quả.
Điều quan trọng nhất vẫn là đừng để nướu phải chịu đựng quá lâu. Việc thăm khám định kỳ, vệ sinh đúng cách và duy trì lối sống lành mạnh sẽ giúp bạn bảo vệ mô nướu bền vững theo thời gian. Nếu thấy những thay đổi bất thường kéo dài hoặc cảm giác khó chịu tăng dần, bạn nên tìm đến bác sĩ để được đánh giá cụ thể và hướng dẫn chăm sóc đúng.
Thông tin liên hệ bác sĩ Quân:
Địa chỉ: 35-37 Nguyễn Thị Thập, Q. 7, Tp HCM, Việt Nam
Điện thoại: 078 751 5858
Email:
Website: https://drtadongquan.com
Facebook: Bác Sĩ Quân
Bạn có thể đặt lịch tư vấn trực tiếp để được bác sĩ thăm khám, đánh giá tình trạng răng miệng cụ thể và đưa ra phương án điều trị phù hợp nhất.
Tụt nướu: Nguy cơ lớn từ một vấn đề nhỏ – Xem ngay!