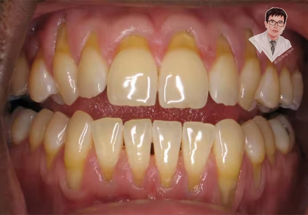
Viêm nha chu nhẹ là giai đoạn đầu của bệnh nha chu khi nướu bị sưng đỏ, chảy máu và hơi thở có mùi khó chịu. Nếu được phát hiện sớm, việc điều trị rất đơn giản — chỉ cần cạo vôi răng, làm sạch mảng bám và chăm sóc răng miệng đúng cách, bạn có thể ngăn bệnh tiến triển nặng hơn.

Cách giảm sưng lợi đúng sẽ giúp giảm đau, giảm ê khi ăn nhai và tránh tiến triển thành viêm nha chu về sau. Khi nướu sưng đỏ, đau hoặc chảy máu, đó là dấu hiệu mô mềm bị kích ứng hoặc nhiễm khuẩn. Nếu trì hoãn hoặc xử lý sai phương pháp, mô nướu sẽ viêm nặng hơn và thời gian hồi phục kéo dài. Dưới đây là hướng dẫn từng bước giúp bạn chọn phù hợp với nguyên nhân, mức độ và giai đoạn.

I. Hiểu đúng nguyên nhân gây sưng lợi

1. Tích tụ mảng bám và vi khuẩn

Mảng bám bám dọc viền nướu tạo môi trường kỵ khí cho vi khuẩn phát triển, gây đỏ và phù. Khi không được làm sạch đúng cách, độc tố vi khuẩn làm nướu dễ chảy máu khi chải răng. Để cách giảm sưng lợi phát huy hiệu quả, trọng tâm phải là loại bỏ mảng bám gốc rễ. Sau khi kiểm soát mảng bám, mô nướu mới có điều kiện phục hồi ổn định.

2. Chấn thương cơ học lặp lại

Đánh răng quá mạnh, dùng bàn chải lông cứng, xỉa tăm nhọn hoặc ăn đồ quá cứng đều có thể gây vi sang chấn. Các vết rách vi mô khiến nướu nhạy cảm, dễ sưng kéo dài dù mảng bám không nhiều. Giải pháp ưu tiên là loại bỏ tác nhân va chạm, chuyển sang bàn chải lông mềm và kỹ thuật chải nhẹ nhàng. Khi giảm kích thích cơ học, phản ứng viêm sẽ hạ dần.

3. Ảnh hưởng nội tiết và miễn dịch

Thay đổi nội tiết (kỳ kinh, thai kỳ) hoặc stress kéo dài làm mạch máu nướu dễ phù nề. Dù vệ sinh tương đối tốt, nướu vẫn có thể đỏ, đau, rướm máu. Nhóm này cần tăng tần suất vệ sinh và theo dõi sát triệu chứng. Khi có đợt nhạy cảm, áp dụng cách giảm sưng lợi sớm giúp hạn chế chuyển viêm nặng.

Bảng tóm tắt nguyên nhân – định hướng xử lý

Nhóm nguyên nhân Dấu hiệu nổi bật Hướng ưu tiên
Mảng bám – Vi khuẩn Đỏ viền nướu, chảy máu khi chải Làm sạch chuẩn, đều đặn
Chấn thương cơ học Đau theo điểm, sau ăn đồ cứng Giảm kích thích, đổi bàn chải
Nội tiết – Miễn dịch Sưng theo chu kỳ, dễ tái phát Tăng vệ sinh, theo dõi sát

II. Dấu hiệu cho thấy bạn đang xử lý sai hướng

1. Nướu đậm màu hơn sau 72 giờ

Nếu sau ba ngày nướu vẫn đỏ sậm hoặc lan rộng, hướng xử lý hiện tại không trúng gốc. Đây thường là dấu hiệu mảng bám dưới viền nướu chưa được loại bỏ. Lúc này chỉ giảm đau hoặc súc miệng đơn thuần sẽ không đủ. Cần quay về làm sạch kẽ răng đúng kỹ thuật để cách giảm sưng lợi có tác dụng.

2. Chảy máu tăng khi đánh răng

Rớm máu nhẹ 1–2 ngày đầu có thể chấp nhận được. Nhưng nếu càng vệ sinh càng chảy máu, khả năng cao đã có cao răng dưới nướu hoặc bạn dùng lực chải quá mạnh. Cao răng là bề mặt thô giữ vi khuẩn, làm viêm kéo dài. Giải pháp là làm sạch chuyên nghiệp và điều chỉnh lực chải lẫn dụng cụ vệ sinh.

3. Hơi thở hôi rõ vào buổi sáng

Mùi hôi dai dẳng phản ánh hoạt động của vi khuẩn kỵ khí trong túi nướu. Khi pH vùng dưới nướu mất cân bằng, mô mềm hồi phục rất chậm. Bạn cần bổ sung vệ sinh kẽ răng và kiểm soát mảng bám trước khi thêm bất kỳ biện pháp hỗ trợ nào. Khi nền vệ sinh ổn, các cách giảm sưng lợi mới duy trì hiệu quả lâu.

III. Phương pháp giảm sưng lợi nhanh tại nhà

1. Súc miệng nước muối sinh lý 0,9%

Dung dịch đẳng trương giúp giảm kích ứng niêm mạc mà không gây rát. Nếu tự pha, dùng 9 g muối cho 1 lít nước, súc 2–3 lần/ngày sau ăn. Biện pháp này hỗ trợ giảm lượng vi khuẩn và ổn định môi trường nướu. Khi kết hợp vệ sinh kẽ răng, cách giảm sưng lợi này sẽ phát huy tốt hơn.

2. Chườm lạnh trong 24–48 giờ đầu

Chườm túi lạnh qua khăn mỏng 10 phút, nghỉ 10 phút, lặp lại 2–3 vòng. Lạnh giúp co mạch, giảm sung huyết ở giai đoạn viêm cấp. Sau 48 giờ, có thể chuyển sang ấm nhẹ để tăng tuần hoàn. Tránh áp lạnh trực tiếp lên da để không gây bỏng lạnh.

3. Massage nướu sau khi vệ sinh sạch

Dùng ngón tay sạch xoa tròn nhẹ 1–2 phút quanh vùng sưng để tăng lưu thông máu. Massage chỉ thực hiện sau khi đã làm sạch mảng bám để tránh đẩy vi khuẩn sâu hơn. Kỹ thuật đơn giản này hỗ trợ dinh dưỡng mô và giảm cảm giác căng tức. Khi duy trì đều, các cách giảm sưng lợi khác sẽ bền vững hơn.

Bảng so sánh ba phương pháp tại nhà

Phương pháp Tác dụng chính Khi áp dụng tốt nhất
Nước muối sinh lý Giảm vi khuẩn, dịu nướu 2–3 lần/ngày sau ăn
Chườm lạnh Giảm phù, giảm sung huyết 24–48 giờ đầu
Massage nướu Tăng tuần hoàn, hỗ trợ hồi phục Sau khi vệ sinh sạch

Cười hở lợi khiến nhiều người mất tự tin khi giao tiếp, dù răng đẹp vẫn khó có nụ cười hài hòa. Với phẫu thuật cười hở lợi hiện đại, bạn có thể khắc phục triệt để tình trạng này chỉ sau 30 phút – an toàn, ít đau và mang lại nụ cười rạng rỡ, cân đối tự nhiên.

Phẫu thuật lợi là thủ thuật nha khoa giúp loại bỏ phần nướu thừa, cải thiện tình trạng cười hở lợi và mang lại nụ cười tự nhiên, hài hòa. Nhiều người lo lắng phẫu thuật lợi có đau hay nguy hiểm không, bài viết này sẽ giúp bạn hiểu rõ quy trình, chi phí và thời gian hồi phục thực tế.